
Anterior mediastinal teratoma | Radiology Case ... .
Anterior mediastinal teratoma | Radiology Case ... .
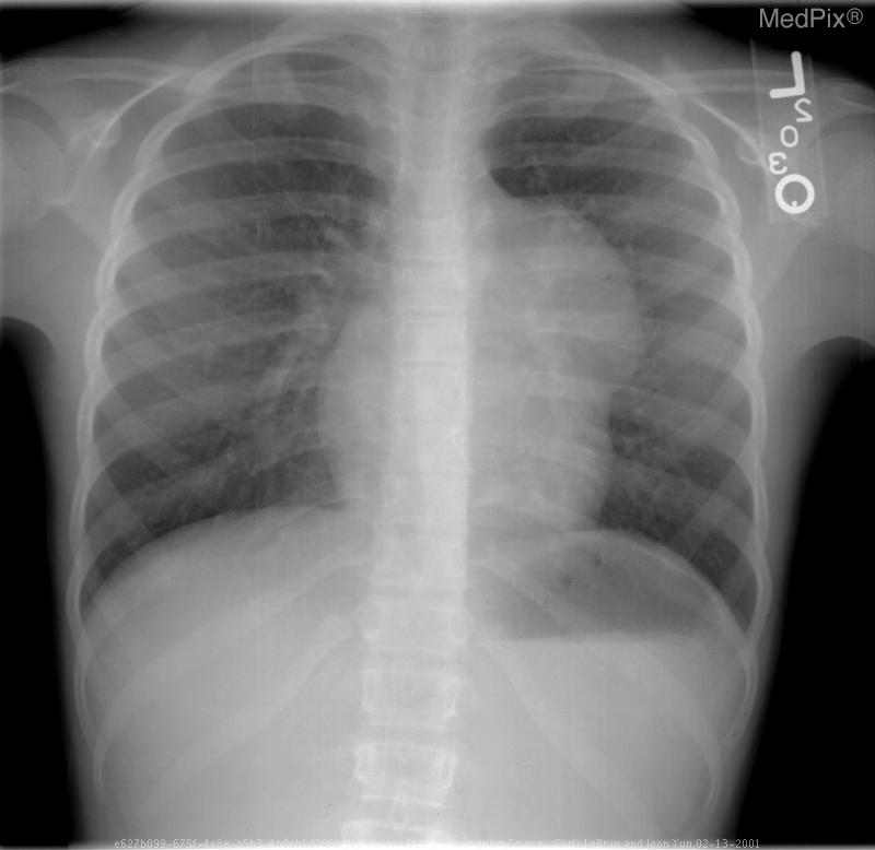
Mediastinal teratoma | Radiology Case | Radiopaedia.org .
LearningRadiology - Mediastinal Teratoma .
mediastinal teratoma - Humpath.com - Human pathology .
SOCEM UCSA: Caso clínico: Teratoma Mediastinal .
Mediastinal teratoma presenting as apparent fresh ... .
malignant teratoma - Humpath.com - Human pathology .
Teratoma - Pictures .
Teratoma Maduro del mediastino .
Related Keywords & Suggestions for Sacrococcygeal Teratoma .
Teratoma Maduro del mediastino .
Tumores de Mediastino Archives - Cirugía Torácica .
LearningRadiology - Mediastinal Teratoma .
Teratoma - Wikipedia .
teratoma - Humpath.com - Human pathology .
LearningRadiology - mediastinal, teratoma, tumor, germ ... .
MEDIASTINAL TERATOMA .
Enter Password .
Pathology Outlines - Teratoma .
Mature mediastinal teratoma - gross pathology | Image ... .
Teratoma; Dysembryoma; Teratoid Tumor; Teratoma, Cystic ... .
Webpathology.com: A Collection of Surgical Pathology Images .
mediastinal teratoma - Humpath.com - Human pathology .
Tumor: Mediastinal Tumor .
mediastinal teratoma - Humpath.com - Human pathology .
Mediastinal syndrome .
Teratoma Maduro del mediastino .
Mediastinal teratoma | Radiology Case | Radiopaedia.org .
mediastinal teratoma - Humpath.com - Human pathology .
Cystic Teratoma - tumor with teeth and hair growing oin ... .
Teratoma gigante de mediastino anterior con taponamiento ... .
Teratoma Related Keywords - Teratoma Long Tail Keywords ... .
Mediastino .
111227 MEDIASTINAL TERATOMA .
Anterior mediastinal teratoma | Radiology Case ... .
Teratoma Maduro del mediastino .
Mediastinal teratoma | Image | Radiopaedia.org .
Image Gallery teratoma x ray .
Testicular Teratoma Histology | www.imgkid.com - The Image ... .
Mediastinal teratoma | Image | Radiopaedia.org .
Ovarian Teratoma e.g, hair, teeth, w/e growing in ovaries ... .
TUMORES DE OVARIO .
Teratoma - Pictures .
Mediastinal syndrome .
Well formed teeth visible in a mature cystic teratoma ... .
Teratoma Maduro del mediastino .
Monstrous tumors from hell - "teratoma" tumors found to ... .
Anatomy of mediastinum and its disorders .
Image Gallery teratoma ct .
Mediastinal teratoma | Image | Radiopaedia.org .