
Image Gallery teratoma babies .
Image Gallery teratoma babies .
Teratoma Tumor Brooch | Buy This Bling! .
Teratom Belt Buckle Polymer Clay Unikate von MorgansMutations .
Matthew O’Leary’s New Essay Collection Dissects Loss and ... .
Dermoid Cyst - Pictures, Ovary, Removal, Symptoms, Causes ... .
Cervical teratoma | teratoma | Pinterest .
Dermoid Cyst With Teeth. (This cyst looks more in ... .
Teratoma With Limbs | www.pixshark.com - Images Galleries ... .
Teratoma Foot | www.pixshark.com - Images Galleries With A ... .
Ovarian Teratoma Eye | www.pixshark.com - Images Galleries ... .
The Digital Cuttlefish: Teratoma--or, Knit me a sister. .
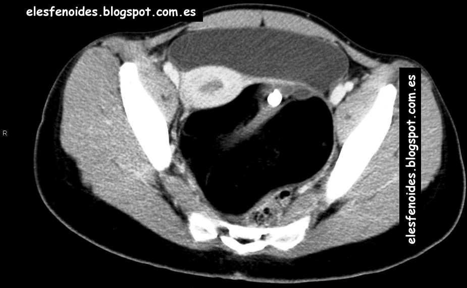
El esfenoides: Teratoma maduro ovárico. 2 imágenes 1 caso. .
Sacrococcygeal Teratoma | Phoenix Children's Hospital .
Commenting has been disabled for this article | Permalink .
Тератома - OncoPortal.net .
Dermoid Cyst - Pictures, Ovary, Removal, Symptoms, Causes ... .
Teratoma, a tumor that can grow teeth, hair, and bones ... .
Teratoma | Macabre | Pinterest .
Que vi hoy: Teratoma ovárico .
Teratoma | Team Alchemist Blog .
Sorry You Asked w/ Dr. Josh Bazell - Ep. 5 - 'Teratoma ... .
Duda's Epic Quest To Epicness: Dermoid Cysts (Teratomas) .
Ovarian Teratoma | www.pixshark.com - Images Galleries ... .
Mature cystic teratoma | Image | Radiopaedia.org .
The Danger When An Ovarian Cyst Ruptures - MediMiss .
FOTO Potworniak (Teratoma) - Katastrofy, egzekucje ... .
Pin by Johanna Garrison on Brain tumor (immature teratoma ... .
Testicular Teratoma Histology | www.pixshark.com - Images ... .
Dermoid Cyst by Nazcorr.deviantart.com on @deviantART ... .
Teratoma With Limbs | www.pixshark.com - Images Galleries ... .
Sacrococcygeal Teratoma | Phoenix Children's Hospital .
Teratoma With Eyes | www.imgkid.com - The Image Kid Has It! .
Teratoma – Pictures, Symptoms, Causes, Treatment ... .
An Overview of Dermoid Cysts | Social Medical Network .
A 12-cm mature cystic teratoma of the ovary prior ... .
teratoma - undeveloped twin. Pathology project. | x-ray ... .
Mixed germ cell tumour of the testis: gross pathology ... .
Metastatic testicular teratoma | Image | Radiopaedia.org .
51 best images about Path spot on Pinterest | Markers, The ... .
Teratoma With Eyes | www.imgkid.com - The Image Kid Has It! .
Fringe 365 Project: Favorites | Fringecomix .