
Nueva clasificación del cáncer de próstata basada en ... .
Nueva clasificación del cáncer de próstata basada en ... .
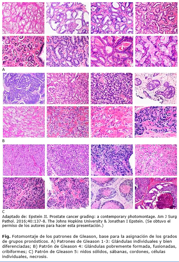
La puntuación de Gleason para el cáncer de próstata .
Cancer de mama completo .
Grados Histológicos de los tumores mamarios en las perras ... .
CLASIFICACIÓN DEL CÁNCER DE ESTÓMAGO .
Cancer Prostata - CaP .
Fundación Rebecca de Alba, A.C. - Grado de un tumor .
A Stock Photos: breast cancer images .
Cancer De Cervix Grado 3 B | laparoscopia quir 250 rgica ... .
Definición de lesión escamosa intraepitelial de grado bajo ... .
V Congreso Virtual Hispanoamericano de Anatomía Patológica ... .
Evaluation of Degree of Thanatophobia Associated with ... .
“Chato” Grados confirma que tiene cáncer a la médula ósea ... .
LE URGE MORFINA. MUJER DE 47 AÑOS TIENE CÁNCER TERMINAL Y ... .
asc -h - sil de alto grado - Salud - amhasefer.com .
Definición de displasia - Diccionario de cáncer - National ... .
Guía de Práctica Clínica sobre Tratamiento de Cáncer de ... .
Cancer De Cervix Grado 3 B | laparoscopia quir 250 rgica ... .
CáNcer Endometrial .
Cancer De Cervix Grado 3 B | laparoscopia quir 250 rgica ... .
Prostate cancer - Genetics Home Reference .
Definición de niveles de Clark - Diccionario de cáncer ... .
Cancer de mama 2014 .
EL 0 GRADO DE CÁNCER PARA VENEZUELA - Tito Macia .
Colonic polyp, endoscope view - Stock Image C021/6300 ... .
Skin Cancer Symptoms: How to Check for Moles | Reader’s Digest .
Cancer de prostata .
Cáncer de mama Dra. Laura Patricia Cruz Harley - ppt descargar .
Skin-Cancer Apps Can Be Dangerously Wrong | HuffPost .
Cancer de prostata. parte de cynthia .
Cancer De Cervix Grado 3 B | laparoscopia quir 250 rgica ... .
Astrologia Grados Zodiaco Signo Cancer Horoscopo Astral .
Cáncer de Próstata en el Adulto Mayor .
Cancer Estomago Grado | LaceandPromises .
Prostate cancer: testing, grading, staging .
Cancer De Cervix Grado 3 B | ginecologia y obstetricia 191 ... .
A Typical Rectal Cancer - YouTube .
Lesiones preinvasoras y ca de cuello uterino ULA .
Curso Universitario en Tratamiento Y Manejo del Cáncer De ... .
Cancer De Cervix Grado 3 B | ginecologia y obstetricia 191 ... .
Cancer De Cervix Grado 3 B | cancer de cervix grado 3 b ... .
Cancer de prostata. parte de cynthia .
hiperplasia prostica benigna .
Cáncer de próstata .
Resumen de la clase de precancer y cancer cutáneo .